妊娠期の不安解消とパートナー間コミュニケーション向上でマタニティライフを応援したい
株式会社スマートエコーのプレスリリース

株式会社スマートエコー(代表取締役社長:高多伊吹、本社:鳥取県米子市/東京都港区)は、妊婦向けスマートフォン接続型超音波デバイス「ポケマムシリーズ」の最新モデルとして、赤ちゃんの心音を聴くことができる新製品「ポケマム・サウンズ」を2025年7月7日に発売いたします。
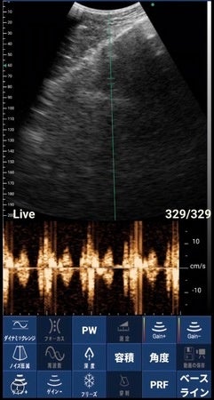
「ポケマム・サウンズ」は、全国の妊婦さんとそのご家族から支持を得る「ポケマムシリーズ」の特長であるスマートフォンでお腹の中の赤ちゃんの姿をリアルタイムに見る機能に加えて、赤ちゃんの心音を聴取する機能(パルスドプラ方式による音波検出)を新たに搭載。胎児の様子を見ながら心音を聴くことにより、成長を実感し妊娠期の不安軽減に繋がる他、一緒にエコーを使用することでパートナー間・家族間のコミュニケーションが増え、妊娠への理解度やサポート向上が期待できます。
■家庭用エコー(ポケマム)を使用した妊婦の9割が「妊娠中の不安が軽減」したと回答
日本女性財団が2023年に実施した「家庭用超音波エコーの使用による妊産婦(夫婦・パートナー)の心理・態度変容に関する調査※」では、家庭用エコーを使用した妊婦の97.5%が「妊娠中の不安が少なくなった、または解消した」と回答しました。
通常、妊婦健診は妊娠22週までは4週間に1度のペースですが、胎動を感じられるようになるのは20週頃からです。そのため、特に妊娠初期は赤ちゃんの様子がわからず、不安やストレスを感じやすい時期でもあります。家庭用エコーを使うことで、11週頃から自宅で胎児の様子を確認できるため、妊婦の不安やストレス軽減に役立つことが示唆されました。


また、同調査では家庭用エコー使用により、76.7%が「パートナーの妊娠に対する理解度やサポートが向上した」と回答。夫婦やパートナーと共にエコーを使用し胎児の様子を見ることで、”夫の妊娠についての理解が深まった”などの声が寄せられています。4人に1人が産後うつを発症すると言われている時代において、家庭用エコーが妊娠中からパートナーや周囲とのコミュニケーションを増やすきっかけとなり、産後のサポート不足による孤立を防ぐことが期待されています。今回の「ポケマムサウンズ」発売により、胎児の様子の理解が更に深まること、妊娠・出産をよりポジティブなものと捉えていただけることを目指しています。


※参考プレスリリース家庭⽤エコーを使った妊産婦の不安解消、うつ予防に関するアンケート調査
■ポケマムについて


従来、産婦人科の妊婦検診でしか見られなかった胎児エコーをスマホでいつでもどこでも見られるようにした妊婦さん用の超音波エコー。記録した動画や画像は、データ送信により家族間での共有が可能。WHOの基準を満たし安心安全に使用することができる。胎児の様子が見えやすくなる妊娠12週目以降からの使用を推奨。
■サービス・製品と料金概要

製品名:ポケマム・サウンズ
提供元・販売元:株式会社スマートエコー
発売日:2025年7月7日
<主な特長>
・スマートフォン接続型コンベックス・プローブ
・胎児の映像をリアルタイムで表示
・胎児心音の聴取(専用アプリ連携)
・妊婦さんご自身で簡単に操作可能
ポケマムサウンズ 4週間サブスク定価: 16,980円(税込)
キャンペーン割引 -3,000円で13,980円に
■商品スペック詳細
・スキャンモード:B、B/M、B+カラー、B+PDI、B+PW
・プローブ周波数:3.2MHz/4MHz
・スキャン深度:90/160/200/240mm
・イメージ調整:BGain、TGC、DYN、フォーカス、深度、ハーモニック、ノイズリダク ション、カラーゲイン、ステア、PRF、フレーム数設定(100/200/500/1000)
・穿刺アシスト機能:面内穿刺ガイドライン(11cm×6cm×2cm)
・重量:120g
・対応システム:Apple iOS、Android、Windows
備考:本製品を含むポケマムシリーズは非医療機器として妊婦さんの安心と日々の楽しみのために開発されたシステムであり、診断、診察等の医療行為およびそれに類する一切の行為は禁止されております。
■ポケマム・サウンズ新発売を記念してモニターキャンペーンと割引クーポンキャンペーンも期間限定開催。
【初回モニターキャンペーン】
先着100名様限定で、通常価格16,980(税込)から3,000円割引の13,980(税込/送料別)にてご提供。
【ポケマムをお申込みの方、全員への特典】
「ポケマム1」「ポケマム2」「ポケマムサウンズ」にお申込みの方を対象に、LINE友達登録を条件とした1,000円割引クーポンを配布いたします。詳細はポケマム公式HPをご覧ください。
■ポケマムシリーズの受賞歴
・文藝春秋「CREA」ベストフェムケア2024受賞(妊活部門)
「自宅で赤ちゃんの様子を家族と確認でき、動画や画像を残せるのがすごい! 多くの妊婦さんに知ってほしい」
「リアルタイムで赤ちゃんの様子が見られる画期的なアイテム!」
▷【ベストフェムケア2024】 「妊活部門」
・集英社yoi「第4回フェムテックアワード テクノロジー大賞」受賞
・東京都フェムテック開発支援・普及促進事業 採択製品
【株式会社スマートエコーについて】 「鳥取からIPO!」を目標に株式会社Borderのヘルスケア事業を分割継承するかたちで鳥取県に2024年12月に鳥取県米子市に設立。また同時に鳥取県倉吉市に配送センターを開設。主要な事業として個人向けススマホ・エコーによるヘルスケアアプリの開発、サービス提供を行っている。また並行して、スマートエコーでは「ポケマム」を使用した欧州での海外代理母出産事業へのサービス展開も始めており、グローバルで妊婦とその家族のサポートを行っている。
鳥取本社: 鳥取県米子市天神町2‐48
東京本社: 東京都港区白金3-7-18-503

