~ ホワイトエッセンスが導く透明感と耐久性の高さで、未来の自分へ美と健康のプレゼント ~
ホワイトエッセンス株式会社のプレスリリース

歯のホワイトニングや歯のクリーニングなどのサービス※1を全国の加盟歯科医院で提供するホワイトエッセンス株式会社(代表取締役:入山 裕左、所在地:東京都渋谷区、以下「ホワイトエッセンス」)は、2026 年4 月21日(火)より、日本製ジルコニアによる詰め物/被せ物 治療「ステラフィットシリーズ(Stella Fit Series)」を全国の加盟院を通じて本格的に展開いたします。※2
「ステラフィットシリーズ」は、歯と口元の美を追求して25周年を迎えたホワイトエッセンスが、先端のデジタル技術と長年のノウハウを駆使した到達した詰め物/被せ物です。自然な輝きと透明感、耐久性を両立いたしました。
背景
ホワイトエッセンスは、常に「歯は一生の健康を支える」という長期的な視点に立ち、安心・安全なサービスの提供にこだわり、ホワイトニング材および照射器の研究開発、ホワイトニング材の医療機器承認の取得、メニューやサービスの開発・品質向上、スタッフ教育など様々な取り組みをしております。
現在、国内のホワイトニング市場においてトップクラスであると自負するホワイトエッセンスは、全国344院の加盟歯科医院※3を通じて471万件※4の症例実績を有しております。従来よりホワイトエッセンスには、これら加盟歯科医院を通じて、お客様から「詰め物が歯の色と合っていないのが気になる」、「せっかくつけた詰め物が外れたが何度も入れなおしたくない」、「詰め直し、交換のたびに歯を削るのは嫌」、「歯を抜く、インプラントになるのは嫌」といった悩みが寄せられておりました。
「ステラフィットシリーズ」は、こうしたお客様のお悩みにアプローチすることを目的とした詰め物 / 被せ物です。
製品概要
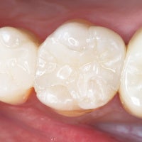
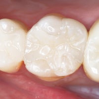
「ステラフィットシリーズ」は、歯と口元の美を追求して25周年を迎えたホワイトエッセンスが厳選して選んだ日本製ジルコニアを用いた詰め物/被せ物で、お口の美と健康を長期的に守ります。

特徴➀天然歯に馴染む自然な白さと透明感
歯のホワイトニングのリーディングブランドだからこそ、仕上がりの美しさにこだわりました。シェードガイド/デジタル画像で歯の色のデータを取得。5層からなる多層構造で、単なる白さではなく、どんな歯の色の方にも馴染む自然な白さ、透明感をもたらします。ホワイトニング後の白さも再現可能で、ホワイトニングで納得の白さを手に入れた方にもおすすめです。

特徴②細菌の付着や歯ぐきへのダメージを軽減するお口と身体に優しい素材
歯周病の原因となるプラークやバイオフィルムの付着を抑制する非常になめらかな表面を実現。
金属不使用のため金属アレルギーや金属による歯茎の着色や黒ずみの心配は不要です。

特徴➂割れづらい、欠けづらい、劣化しづらい 未来まで続く耐久性
複数の高品質なジルコニア原材料を最適な比率で組み合わせて製造することで審美性と耐久性を両立。割れにくさ・欠けにくさは保険で使用する白い詰め物/被せ物と比べ約3~5倍※5の強度が期待できるうえ、長期間にわたる口腔内環境においても劣化しにくく、未来までお口の健康と美しさを維持します。

特徴④虫歯再発リスクを抑える密着性
一人ひとりの歯の形をデジタルで取得し加工することにより、詰め物と歯をぴったりフィットさせます。隙間から細菌が入りにくいため、虫歯が再発するリスクが低くなります。
ラインナップ
詰め物/被せ物のサイズに合わせたラインナップをご用意いたしました。

※ご自身への適用、ラインナップ、価格などについては、「ステラフィットシリーズ」を提供するホワイトエッセンス加盟院にお問い合わせください。
今後もホワイトエッセンスは、「歯は一生の健康を支える」という長期的な視点に立ち、ホワイトエッセンスが開発・製造・販売する医療機器において厳しい視点を取り入れ、より一層、お客様にご評価いただける品質を追求し、業界全体の水準向上に貢献してまいります。
※1 <クリーニングについて>
内容:歯石取り(スケーリング)、フロッシング、PMTC、舌クリーニングなど / 費用(自費):9,900円〜48,800円(税込) / 期間、回数:通常1日、1回(内容により異なります) 副作用・リスク:知覚過敏の方は、刺激を感じる場合があります。
<ホワイトニングについて>
内容:ホワイトニング材とホワイトニング専用照射器を併用して歯を白くします。 / 費用(自費):19,900円〜118,800円(税込) / 期間、回数:(オフィス)3〜6か月・2〜5回 (ホーム)1〜2ヶ月・期間中1回/日 / 副作用・リスク:個人差がありますが、施術中や施術後に歯がしみる場合があります。
※2 全国の加盟院のうち約120院での取り扱いを予定しております。
※3 2026年3月末時点
※4 ホワイトニングに関する症例件数:2,555,051件、クリーニングに関する症例件数:2,160,761件、合計:4,715,812件 / 症例件数の計測を正確に開始した2005年4月1日から2026年3月31日までの合計実績
※5 国内最大手メーカーの製品との比較
ホワイトエッセンス株式会社 概要
本社所在地:東京都渋谷区渋谷 3-12-18 渋谷南東急ビル 11階
会社設立:2003年10月7日
代表取締役社長:入山 裕左
URL:https://www.whiteessence.com/
ホワイトエッセンス株式会社は、医療機関の技術力にエステの心地よさを取り入れて、2003年に誕生しました。医療機関の技術力と471万件※1と多くの症例実績数の元、全国に344医院をフランチャイズ展開し※2、どこの医院であってもクオリティにこだわった施術を受けることができます。ホワイトエッセンス株式会社の加盟院が提供するサービスの主な特徴は、笑顔を魅力的にする充実したメニュー数、五感を癒す個室空間での施術、施術クオリティの高さ、お客様に信頼と満足感を持って施術を受けていただくための返金保証制度※3と中途解約制度の完備などがあります。歯と口元の美と健康については私たちにお任せください。
※1:ホワイトニングに関する症例件数:2,555,051件、クリーニングに関する症例件数:2,160,761件、合計:4,715,812件 / 症例件数の計測を正確に開始した2005年4月1日から2026年3月31日までの合計実績
※2:2026年3月末時点
※3:ホワイトエッセンス初来院で過去にホワイトニング(他歯科医院のホワイトニングも含みます)のご経験がない方を対象とし、初回のホワイトニングを体験いただき白さの変化を実感できない場合、翌営業日迄の申し出に対して、全額を返金致します。

