~ヒト表皮角化細胞のロリクリン産生、タイトジャンクション形成促進作用を確認~
株式会社マンダムのプレスリリース
-
研究の背景
温泉やスパ、マッサージなど、肌を温める温熱スキンケアは肌に良いことが知られていますが、そのメカニズムは明らかになっていません。これまで、温泉成分として知られるアルムKが、細胞の感覚センサーTRP(トリップ)チャネル※1の一種であり、温かい温度を感知するTRPM4を活性化することや、ヒト表皮角化細胞からの炎症シグナルを抑制すること(2019年5月28日リリース)、および表皮角化細胞の増殖を促進すること(2023年11月30日リリース)を見出し、アルムKがTRPM4を活性化することにより肌状態を改善することを明らかにしてきました。しかしながらアルムKによる肌のバリア機能への影響については分かっていませんでした。
そこで今回、アルムKが肌のバリア機能に及ぼす影響の確認、およびメカニズムの解析を行いました。
-
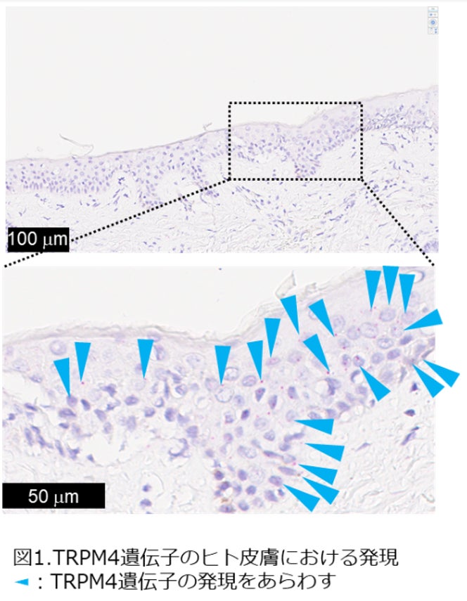
1. アルムKのターゲットとなるTRPM4はヒト表皮に存在

ヒト皮膚や肌の細胞にTRPM4が含まれていることは知られていましたが、実際のヒト皮膚のどの部位にTRPM4が存在しているのか、空間的な分布は明らかではありませんでした。
そこで、生体組織に含まれる遺伝子の局在を明らかにすることができるin situ ハイブリダイゼーション※2という手法により、ヒト皮膚を用いてTRPM4遺伝子の発現部位の解析を行いました。その結果、TRPM4遺伝子がヒトの表皮に広く存在していることを確認することができました(図1)。これにより、実際のヒト皮膚においても、特に表皮にTRPM4が存在していると考えられ、肌状態を改善するためには表皮のTRPM4を温熱刺激やアルムKなどで活性化させることが有効であると考えられます。
-
2. 温泉成分アルムKは、表皮角化細胞の角化を促進

表皮角化細胞は、表皮の一番内側の基底層で生まれ、あとから生まれる細胞に押し出されて角化しながら上層に移行し、最終的にはがれ落ちる、ターンオーバーを繰り返しています。そのターンオーバーの過程において、角層のバリア機能を担う重要な分子のひとつであるロリクリンが産生されます。
今回、3次元表皮モデルにTRPM4活性化剤であるアルムKを添加して培養すると、表皮角化細胞におけるロリクリン遺伝子の発現量が増加することが明らかになりました(図2A)。また、このときに経表皮水分蒸散量(TEWL)が低下することも明らかになりました(図2B)。これらの結果は、アルムKが表皮角化細胞の角化を促進し、皮膚のバリア機能を強化したことを示しています。
-
3. 温泉成分アルムKは、表皮角化細胞のタイトジャンクション機能を強化
皮膚のバリア機能には、角化だけでなく、顆粒層に存在するタイトジャンクションが重要な機能を担うことが知られています。タイトジャンクションは細胞間を強く接着することで外部からの刺激物質の侵入や、内部からの水分や保湿成分の蒸散を防ぐ働きがあります(図3)。タイトジャンクションの機能が低下すると、皮膚のバリア機能は低下してしまいます。
今回、3次元表皮モデルにトレーサーを添加し、赤色に着色することによって、タイトジャンクションの機能評価を行いました。このトレーサーは細胞間の隙間を自由に通ることができますが、正常に機能しているタイトジャンクションを通り抜けることはできません。37 ºCで培養した3次元表皮モデルでは、トレーサーがタイトジャンクションを通り抜けることができないため、タイトジャンクションのスポットでトレーサーの移動が止まります(図4A、水色マーク)。一方、33 ℃で培養した3次元表皮モデルでは、トレーサーの移動がタイトジャンクションのスポットで止まっておらず、漏れ出していることが分かります(図4A、ピンク色マーク)。このことは、低温条件下では、タイトジャンクションの機能が低下することを示しています。実際に、トレーサーの移動が止まっている、すなわち正常に機能しているタイトジャンクションの数は、低温条件下で減少することが明らかになりました(図4B)。さらに、33 ℃の培養温度条件下であっても、アルムKを添加すると、トレーサーの移動が止まり(図4A)、機能しているタイトジャンクションの数が増加しました(図4C)。既知のTRPM4活性化剤であるBTP2※3でも同様の結果が得られていることから(図4D)、TRPM4活性化剤でもある温泉成分アルムKがTRPM4を活性化することによりタイトジャンクションの機能が強化されることが明らかになりました。

-
4. アルムK配合ローションが肌状態を改善

アルムKを配合したローションを1日2回、4週間連用したグループでは、バリア機能の指標であるTEWL値が低下したことから(図5A)、バリア機能が改善することが明らかになりました。一方で、コントロールローションを使用したグループではTEWL値に変化は認められませんでした(図5B)。また、アルムKを配合したローションにおける過去の試験で、角層水分量が上昇することは分かっており(国際化粧品技術者会連盟ミラノ中間大会2019にて発表)、今回の試験でも同様の結果が得られました(図5C)。一方、コントロールローションを使用したグループでは、角層水分量は低下しました(図5D)。これは、試験を実施した時期が冬季であったためと考えられます。よって、低温度環境下や乾燥環境下であっても、アルムKを配合したローションを使用することで、肌の状態は改善されると考えられます。
温泉成分アルムKはTRPM4を活性化することにより、表皮角化細胞からの炎症シグナルを抑制することや表皮角化細胞の増殖を促進することに加えて、本研究では肌のバリア機能を高めることが明らかになりました。アルムKを利用することで肌を実際に温めることなく、温熱による美肌効果と同様の効果をもたらすスキンケアの開発が期待されます。
また、今後温泉成分による肌への作用や、温熱による肌状態への影響の解析を進め、スパ後の肌のような健康で美しい肌へ導く製品の開発を推進します。
-
注釈および用語解説
※1 TRP=Transient Receptor Potential
さまざまな感覚受容に関与する陽イオンチャネルファミリーで、化学物質や温度などを感知して電気信号に変換するセンサー
※2 in situ ハイブリダイゼーション
生体組織などのサンプル上でターゲットとなる遺伝子と、その遺伝子配列に特異的なプローブを反応させることにより、ターゲット遺伝子の空間分布を調べる実験方法
※3 既知のTRPM4活性化剤
N-[4-[3,5-Bis(trifluoromethyl)-1H-pyrazol-1-yl]phenyl]-4-methyl-1,2,3-thiadiazole-5-carboxamide)

